Проект — победитель конкурса «BlueSky Research — Искусственный интеллект в науке» 2022
Искусственный интеллект для диагностики
Разработка комбинированного подхода при диагностической верификации опухолевых новообразований: совместное использование опыта патоморфолога с возможностями искусственного интеллекта. Для создания нейросети используется анализ банка гистологических препаратов глиальных опухолей головного мозга человека (Grade I–IV).
Цель
Создание нового диагностического решения с доступностью в любом конце мира (телемедицина), что, в конце концов позволит сохранить тысячи человеческих жизней и привлечет молодых специалистов в область патоморфологии
Задачи
Доступный DataSet с большим объемом изображений
Создание нейросетевого компрессора изображений срезов опухолей
Создание доступного для использования ПО для детекции молекулярного портрета опухолииммуногистохимия (детекция белка), мутаций ДНК, онкомаркеров в виде РНК и др. молекул





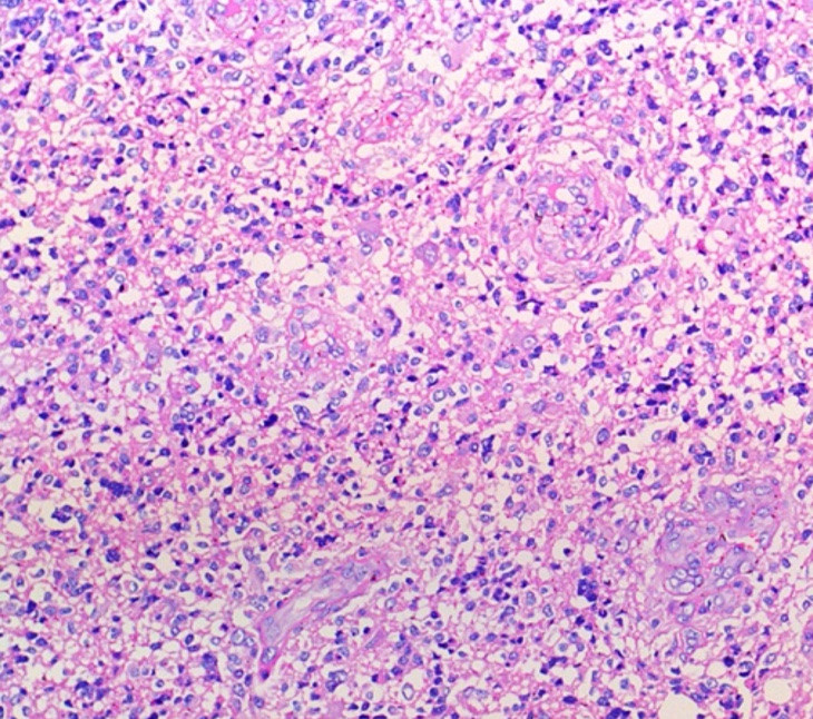
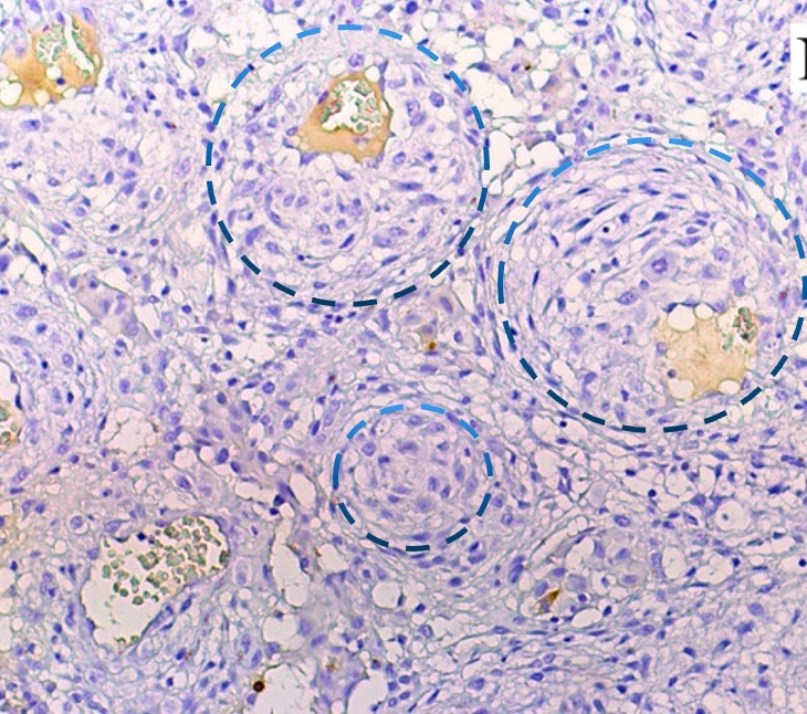
Разметка трансформированных клеток плеоморфных ксантоастроцитом
Окраска: гематоксилин и эозин. Увеличение х 200

Руководители направления
Кириченко Евгения Юрьевна
Петрушан Михаил Викторович


