Проект поддержан РНФ
Коннектомика
Целью проекта является исследование связей сетей нейронов (химических синапсов) и глиальных клеток (щелевых контактов или gap junctions) для определения точной анатомической «карты» мозга.
По результатам уже проведенных исследований по проекту была предложена концептуальная модель взаимного межклеточного взаимодействия химических синапсов и щелевых контактов как взаимного скооперированного механизма синаптической пластичности. Эти данные являются важным для понимания основ когнитивных процессов, внимания, памяти, мышления, обоняния.

Сети астроцитов (красный) и их межклеточных контактов (gap junctions, синий) в обонятельной луковице крысы. Изображение получено при помощи конфокального лазерного сканирующего микроскопа.
Отдельное внимание уделено коннектому особого типа нейронов парвальбумин-содержащих Ca2+ связывающих ГАМК-ергических нейронов в различных отделах мозга: неокортексе, таламусе, гиппокампе, обонятельной луковице. Продемонстрированное в этой работе преобладание количества PV+ нейронов в анатомических модулях связано с направлением хода дендритов PV+ нейронов и формированием дендро-дендритных щелевых контактов, что, в свою очередь, может являться морфологической основой регуляции функционального состояния мозга. Кроме того, была разработана новая классификация PV+ нейронов по их строению и ветвлению.

Химические синапсы нейронов (красный) и щелевые контакты астроцитов (зеленый) в неокортексе крысы

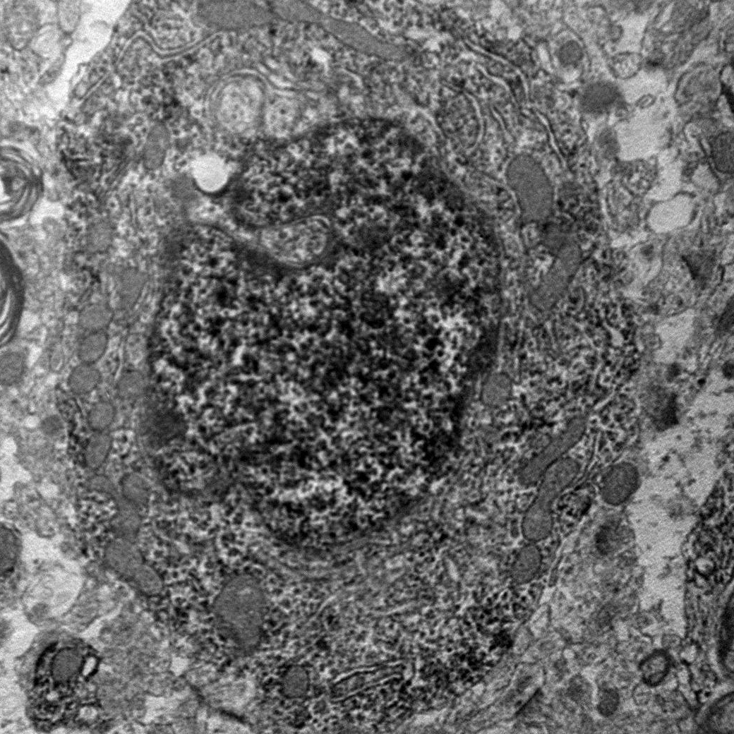
Парвальбумин содержащий нейрон под электронным микроскопом
Кроме того, проект исследования коннектомики мозга охватывает выявление и сравнение интенсивности экспрессии коннексина нейрональных и глиальных клеток, синаптофизина, нейрофиламентов, глиального фибриллярного кислого белка, белка s100, белка APP, соматостатина методами корреляционной светооптической и электронной микроскопии не только в норме, но и при развитии астроцитарных, олигодендроглиальных опухолях Grade I–IV взрослых и медуллобластомах ЦНС детей.

Опухоль головного мозга человека, экспрессирующая глиальный фибриллярных кислый белок (красный) и белок коннексин 43 (зеленый). Конфокальная лазерная сканирующая микроскопия.


